엠폭스 예방접종은 피부접촉으로 전파 감염되기 때문에 예방접종을 강화해야 합니다. 이번에 발생
된 변이엠폭스는 전파력이 강하고 치명률이 높습니다. 피부 접촉으로 감염되기 때문에 가능한 접촉
을 피하고 예방접종을 꼭 해야 합니다.
목차
엠폭스 예방접종.

- 백신을 맞는 것으로 예방을 할 수 있습니다.
- 특히 2세대 두창 백신은 국내 식약처를 통해 숭인 된 백신으로써 두창뿐만 아니라 원숭이 두창에
도 85%의 교차면역 효과가 있는 것으로 알려져 있습니다.
- 3세대 두창 백신은 두창과 원숭이 두창 모두에 대해 효과성이 입증되었습니다.
- 현재 원숭이 두창 대응을 위한 비복제 두창 벡신(3세대) 도입을 진행 중에 있습니다.
- 질병관리청에 따르면 원숭이 두창 백신 예방접종은 상대적으로 바이러스 노출 가능성이 높은
고위험군에게 제한적으로 접종할 예정이라고 합니다.
- 현재 일반 국민 접종은 검토하고 있지 않으며 해외에서도 일반인이 아닌 고위험군 중심 예방접정
을 시행하고 있습니다.
엠폭스 원숭이 두창.

- 원숭이 두창은 원숭이 두창 바이러스에 감염되어 발생하는 질환입니다.
- 1958년 덴마크의 연구실에 있던 한 필리핀 원숭이에서 발견되었습니다.
- 그 후 1970년 콩고민주공화국에서 사람에게 감염된 첫 사례가 발견이 되었습니다.
- 그 이후 아프리카에서 풍토병에서 최근에 북미, 유럽, 호주 등으로 감염이 확산되고 있는 추세입
니다.
![]() |
![]() |
![]() |
![]() |
엠폭스 감염경로.
- 동물 >사람, 사람 >사람, 감염된 환경 >사람 간의 접촉을 통해 감염이 가능합니다.
- 쥐와 같은 설치류가 주 감염 매개체로 지목되고 있으며, 주로 유증상 감염환자와의 밀접접촉을
통해 감염됩니다.
- 호흡기 전파도 가능하나 코로나19처럼 단순 저 복으로 감염되지는 않습니다.
- 바이러스가 포함된 미세 에어로졸을 통한 공기전파는 흔하지 않습니다.
- 감염경로를 보면 감염 환자의 혈액 또는 체액(타액, 소변, 구토물 등) 등, 피부상처 또는 점막을 통
해 직접 접촉 감염이 됩니다.
- 환자의 혈액이나 체액으로 오염된 옷, 침구류, 감염된 바늘 등이 사람의 점막, 피부상처 등 접촉
감염이 있습니다.
- 감염된 원숭이, 다람쥐 등 동물과의 직접 접촉 감염으로 인한 감염 등으로 볼 수 있겠습니다
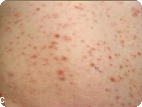
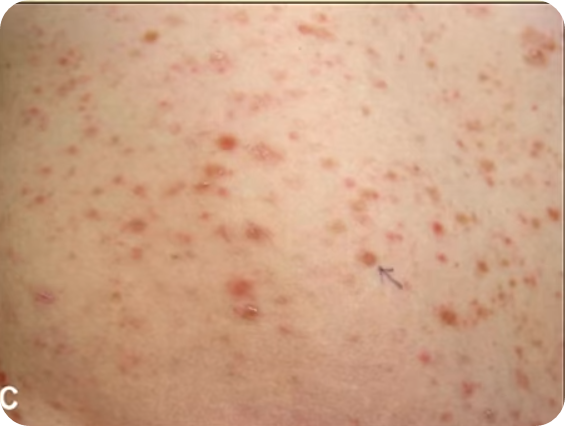
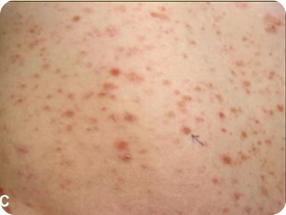
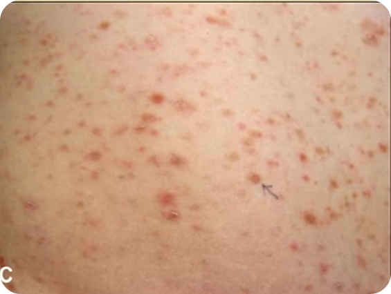
엠폭스 증상.

위 화면은 홍반 현상입니다.
- 엠폭스는 발열과 통증에 이어 몸에 발진이 생기는데, 변이엠폭스는 전파력이 강하고 치명률이 높
습니다
- 잠복기는 감염되면 평균 1 ~ 2주, 5일 ~21일 정도의 잠복기를 지납니다.
- 증상으로는 고열, 두통, 근육통, 요통, 피로감, 오한, 림프절비 등의 증상이 나타나게 됩니다.
- 이후 1 ~ 3일 지나 발진이 시작됩니다.
- 발진은 얼굴에서 시작하여 몸통, 사지의 순서로 진행되며 반점, 구진, 수포, 농포, 딱지 순서로 변
한다.
- 환자 중 약 95%는 얼굴에 발진이 발생 및 몸통에 비해서는 손과 발바닥(75%)에 많이 나타나게
됩니다.
- 구강점막이나 외음부, 결막, 각막에 증상이 생기기도 합니다.
- 증상은 2 ~ 4주 정도 지속된 후 자연적으로 호전되지만 일부 환자는 중증감염으로 진행되는 경우
도 있습니다.

- 원숭이 두창의 증상이 기존에 사람 두창과 비슷하지만 차이점으로는 원숭이 두창은 림프절 비대
가 동반이 된다는 점입니다.
- 발진이 생기기 하루나 이틀 전부터 목이나 겨드랑이나 사타구니 등에 림프절이 커져 있는 게 만
져질 수가 있습니다.
엠폭스 예방접종 진단.

- 원숭이 두창의 진단은 코로나 바이러스 때처럼 PCR검사를 통해서 진단할 수 있습니다.
- 그 외 각종 다른 바이러스를 검사하는 방법을 통해서 진단을 할 수 있습니다.
엠폭스 치료.
- 원숭이 두창에 감염되었을 때 치료는 아직까지 입증되어 있는 치료방법은 없습니다.
- 사용할 수 있는 방법으로는 각종 항바이러스제 백시니아 면역글로불린 등이 사용될 수 있습니
다.
- 그 외 수액의 불균형이나 전해질불균형, 피부병변, 감염 등 문제가 있을 때 그 문제에 따른 치료
를
하는 대중치료를 할 수 있습니다.
- 질병관리청에 따르면 국내에 원숭이 두창 치료에 사용할 수 있는 항바이러스제와 면역글로불린
이 확보되어 있습니다, - 원숭이두창 치료를 위한 항바이러스제인 테코리비바트를 도입 예정 중
에 있다고 하고 있습니다.
- 원숭이 두창에 감염된 후 예후는 이전의 예방접종력, 감염 초기 건강상태 기저질환 등의 요인에
따라 다르게 나타날 수 있습니다.
- 의료진의 진료에 따라 증상에 맞는 적절한 치료를 받아야 합니다.
![]() |
![]() |
![]() |









